Para la ciencia, el cerebro humano es uno de los misterios más grandes que existe debido a varios factores. Aunque en esta ocasión, el Comisariado de Energía Atómica (CEA) utilizaron una máquina de resonancia muy potente con el objetivo de escanear este órgano con una exactitud que nadie antes lo había logrado. Todos los detalles sobre esta investigación en la siguiente nota.
¿CÓMO ES EL CEREBRO HUMANO?
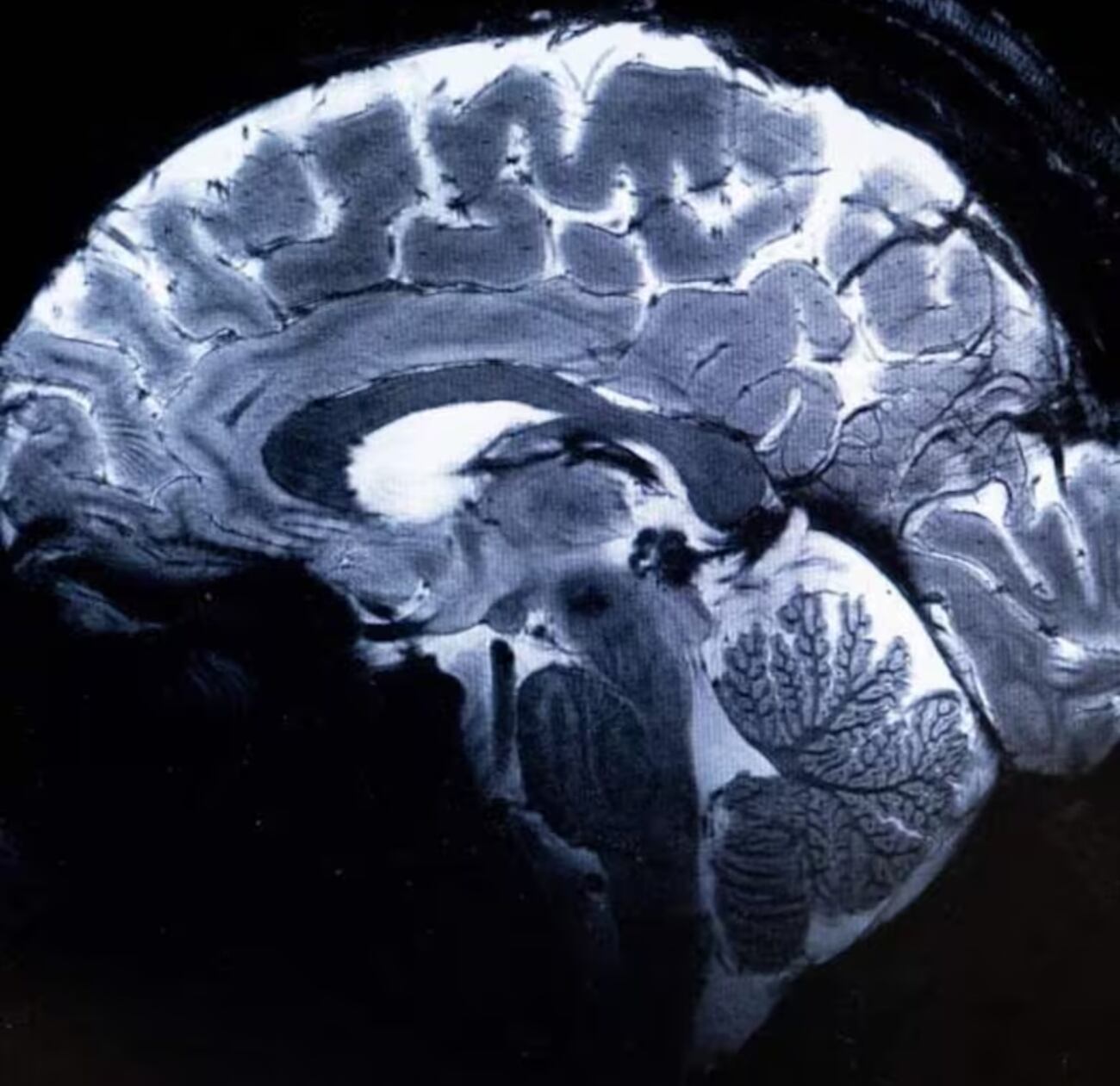
Un grupo de investigadores del Comisariado de Energía Atómica (CEA) escanearon el cerebro de 20 personas voluntarias. Los expertos decidieron comparar los resultados de la maquina, llamada Iseult, con otro escáner normal. El primero puede digitalizar diez veces más ya que cuenta con un campo magnético de 11,7 teslas, a diferencia del segundo que no pasa los tres teslas.

“Hemos visto un nivel de precisión nunca antes alcanzado en el CEA. Con esta máquina podemos ver los pequeños vasos que alimentan la corteza cerebral, o detalles del cerebelo que eran casi invisibles hasta ahora”, dijo Alexandre Vignaud, integrante del estudio científico.
Asimismo, se espera que esta potente maquina ayude en los artilugios que se enconden detrás de las enfermedades, ya sea el Parkinson o el Alzheimer, y también problemas psicológicos como depresión o esquizofrenia. Por ello, los especialistas tratan de encontrar cómo los medicamentos utilizados con la finalidad de tratar diferentes trastornos se esparcen mediante el cerebro.

“Por ejemplo, sabemos que una área particular del cerebro, el hipocampo, está implicada en la enfermedad del Alzheimer, por lo que esperamos poder descubrir cómo funcionan las células en esta parte de la corteza cerebral”, sostuvo la investigadora Anne-Isabelle Etienvre. Como se sabe, este logro se debe a 20 años de muchas investigaciones entre franceses y alemanes, aunque ellos no son los únicos por ahora, pues Estados Unidos y Corea del Sur trabajan en una de estas maquinas sin poder registrar aún a personas.
¿CÓMO LUCIRÍAN LOS SERES HUMANOS EN EL 3024, SEGÚN LA INTELIGENCIA ARTIFICIAL?
La plataforma Ámbito decidió consultar a la Inteligencia Artificial sobre la vida humana en el futuro y los resultados fueron sorprendentes. Desde un inicio, el ChatGPT mencionó que los seres humanos tendrán cambios muy significativos a nivel biológico, cultural, tecnológico y otros elementos.
“Es difícil predecir con certeza cómo seremos dentro de 1000 años, pero es probable que veamos cambios significativos tanto a nivel biológico como cultural debido al avance de la ciencia y la tecnología, así como a otros factores”, señaló la aplicación de chatbot.

Mientras que Bard sostuvo lo siguiente: “La vida de los humanos será muy diferente a la que conocemos hoy gracias a los avances tecnológicos, desde la forma en que nos comunicamos y trabajamos hasta la forma en que nos relacionamos con el mundo que nos rodea”.
De esta manera, la Inteligencia Artificial reveló una imagen de la humanidad como se vería en los próximos 1000 años, resaltando a personas muy diferentes, con cuerpos sanos y trabajados, algunos robots que convivirán con los seres vivos. Asimismo, se puede apreciar autos voladores, aviones muy modernos acorde a la época y una sociedad que vive en edificios muy altos y tecnológicos.






